μ-Scan+新一代微米成像技术
新一代微米成像技术大大提高了器官和病变的可见性。高清对比度分辨率将抑制斑点噪声,同时保持真实的组织结构。
彩色多普勒超声诊断系统
广告
凭借新葡的京集团8814检测站先进的成像技术和优异的探头技术提供的清晰的图像表现,您可以更自信地做出临床决策。
新一代微米成像技术大大提高了器官和病变的可见性。高清对比度分辨率将抑制斑点噪声,同时保持真实的组织结构。
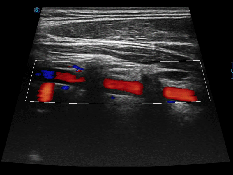
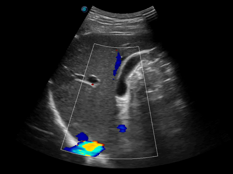
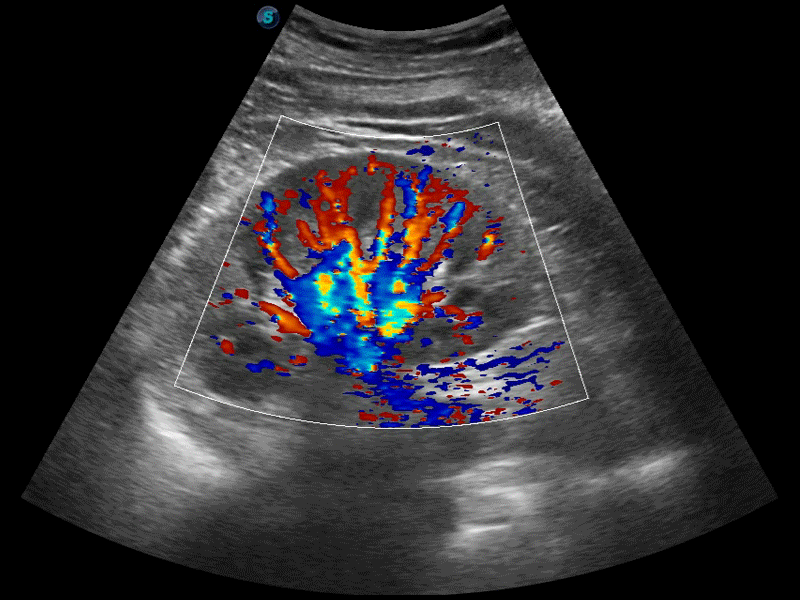
高分辨率血流成像技术提高了对低速血流信号的检测能力。在提高空间分辨率的同时,也克服了血流外溢现象,为用户提供更加真实的血流动力学信息。
凸阵、线阵和相控阵探头进行实时扫描时,开启扩展成像模式,可以扩展超声图像视野,以便更完整地查看大的病灶或组织器官的解剖结构。
通过色彩血流和实时宽景相结合,可观察到完整的静脉或动脉的血流,方便医生检查。实时扫查过程中,如有任何操作失误也可以很容易地进行回扫擦除,而不会中断扫查。
S-Fetus基于大数据深度学习算法,能够帮助您在产前筛查过程中智能识别胎儿标准切面、自动测量并录入报告。一个按键,即可智能、精准、高效地获取胎儿生理指标,极大简化您的产科检查操作。
可快速对产科扫查切面完成胎儿生理学参数的自动测量,减少操作者按键次数,大幅提升检查效率。
自动识别颈项透明层并获得NT值,为早孕胎儿畸形筛查提供有效测量工具,提高诊断效率和诊断信心。
膀胱自动测量,一键式膀胱壁追踪和容量测量可有效提供更精确的轮廓和结果,不受膀胱形状和大小的影响。
自动优化快捷按键,实现成像参数自动优化,减少您调参花费的时间,可用于二维、彩色和频谱的一键优化。
可定制扫描协议有助于简化工作流程,同时提高标准化并减少按键时间。
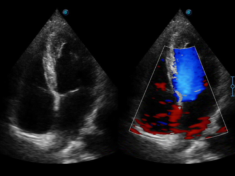
自动识别前后壁内膜厚度,为心血管疾病早期评估提供快速准确依据。
自动识别收缩和舒张末期心肌内膜,自动计算射血分数EF值。
21.5 英寸 LED 显示器
13.3 英寸触摸屏
上下升降左右旋转控制面板
可调温耦合剂加热器
可拆卸大容量电池
隐藏式抽拉键盘
教学软件可为您提供操作手法示意图、解剖结构示意图、标准超声图像示例,帮助您快速掌握超声检查标准切面。
可实现移动端设备与机器的无线连接,实现超声图片无线传输以及实时检查屏幕共享,促进医患交流。
主机内置远程会诊功能,一键开启,即刻享受优质服务。
禁忌内容或者注意事项详见说明书

微信公众号
0188-22223333
400-800-8820
版权所有 @新葡的京集团8814检测站 苏ICP备20008866
互联网电子信息服务资格证书[(苏)-非经营性-2002-0888